3.2 插图
虽然文字是期刊表述的主要手段,但作为重要的表述手段,插图不仅可以使某些内容的叙述更加直观、简明和清晰,而且具有活跃和美化版面的功能,使读者在阅读时赏心悦目,调剂精神,取得提高阅读兴趣的效果。尤其是在描述变量间的相互作用或非线性关系时,用插图来表达是非常有效的。但是,插图也有其自身的缺点,如制作成本高;数据的表达没有表格那么准确,有时还需要读者去估计。因此,在整理论文之前,要首先考虑以下问题:
(1)你需要表达什么观点?
(2)插图是不是必须的?如果与文字材料重复,那么就没有必要。如果能够补充说明文字材料或者能够缩短讨论的长度,那么插图就是呈现信息的有效方式。
(3)哪种类型的插图(如线形图、条形图、示意图、地图或者照片)最符合目的?是否需要制作详细的、高分辨率的插图?能否用一幅简单的、仅用线条和点就能表示的插图?两者表达的信息是否一样?
3.2.1 插图的标准
一幅好的插图应该具备如下特点:
- 补充而不是重复文字的描述;
- 描述最基本的事实;
- 简明,省略不必要的细节;
- 清楚,插图的要素(类型、线条、符号、文字等)要让人很容易看清楚;
- 容易理解,目的明确,具有自明性;
- 在同一篇文章中,同一性质的插图要有一致性,即字体字号、主辅线条粗细、单位符号等要相同。
3.2.2 插图的类型
插图可以显示一系列数据的关系,如数据间的比较和分布。心理学期刊中的插图主要有以下几类。
(1) 线形图
线形图用于表示两个变量之间的关系。自变量标在横(x)轴上,因变量标在纵(y)轴上(见图2)。轴上的刻度是测量的尺度,他们可以是线性的(以相同的比例增加,如25、30、35),也可以是对数形式。
图X MH组及对照组每天给药后活动性高峰的变化趋势
注:MH—吗啡组,NS—生理盐水组。
* p<0.05,**p<0.01。
图2 线形图的图样
(资料来源:陈晶,胡家芬,董闽田等.小剂量吗啡对大鼠活动性的影响.心理学报,2000,32(3):296~300.有改动)
线形图要求:
- 线条清晰简洁;
- 图中的文字、标值应易于辨认;
- 坐标轴旁的标目中应包含测量单位;
- 图例包含在图区内;
- 表示不同变量的符号容易区分;
- 纵坐标标目的文字方向与坐标轴相垂直。
线形图中的线条数目一般不超过5条,但无论几条,都应以能够清晰分辨为原则。如果无法分辨,还不如用表格来呈现数据。
(2)条形图
当自变量是分类数据时,采用条形图。每条代表一类数据,条的长短表示表示数据的大小。有时一类变量又分几个水平,就需要用相应数量的条来表示(见图3),条的数量一般不超过5个。
条形图要求:
- 不同的条有明显区分;
- 0 点标在纵坐标轴上;
- 轴上的刻度易于辨认,纵坐标轴的标目包含测量单位;
- 图例包含在图形区内;
- 纵坐标轴的长度至少和最长的条的长度相等;
- 图中的文字、数字应易于辨认;
- 纵坐标标目的文字方向与坐标轴相垂直。
图X 各组婴儿的尝试水平分布
图3 条形图的图样
(资料来源:董奇,陶沙,张华等.婴儿问题解决行为的特点与发展.心理学报,2002,34(1):61~66,有改动)
当自变量是分类数据时,也可以采用线形图。当自变量是连续数据时,也可以采用条形图。选择何种类型的插图,需根据呈现数据的目的来定。如果强调一变量随另一变量而连续变化时,采用线形图较好,见图2;如果强调不同类型(如年龄组)之间相互比较时,采用条形图比较合适,见图3。
(3)圆形图
又叫饼图,用于描述百分比或比例。比较的项目数一般不超过5个。从时钟12点的位置开始,按照由大到小的部分依次排序。突出各部分差异的较好方法之一是从明到暗用不同的线或点给各个部分涂上阴影,最小的部分最黑。
(4)散点图
散点图由若干个点组成,这些点对应于平面直角坐标系中的纵横轴两个变量,表示某个事件的数值。如果所有的点构成一个条形,则说明存在相关关系。例如:沿着斜线的一组点意味着线性相关,如果所有点都落在一条斜线上,那么其相关系数为1.00。
(5)结构图
结构图能够描述操作过程的步骤之间、小组内各部分之间的关系;结构图经常是方块或圆圈与线连用。例如:组织结构图可以显示出成员间的等级;流程结构图显示一个过程中的各个步骤;模型结构图可以显示不同变量之间的关系。图4是两类结构图的示例。
图X 飞机模拟座舱的功能结构图
(资料来源:符德江,沈模卫.航空模拟舱飞行行为的EPIC理论仿真.心理学报,2001,33(3):225)
图X OCM与员工心理与行为的关系
(资料来源:龙立荣,方俐洛,凌文辁.组织职业生涯管理与员工心理与行为的关系.心理学报,2002,34(1):97~105,有改动)
图4 结构图的图样
结构图要求:
- 同一性质变量所用的方框或圆圈应大小相同,线形一致;
- 所有的线条的粗细、箭头的形状应一致。
(6)示意图
示意图有很大的灵活性。如果作者想突出某个方面或想法,可以按逻辑关系、时间顺序等来安排图的各个部分(见图5)。示意图的要求较高,应当用尽可能少的线条来表达。
图5 示意图的图样
(资料来源:赵晨,张侃,杨华海.内源性与外源性选择注意的跨通道比较.心理学报,2001,33(3):219)
示意图要求:
- 线条简单,没有与主题无关的细节;
- 字迹清楚;
- 图的各个部分安排紧凑。
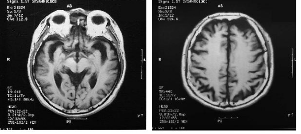
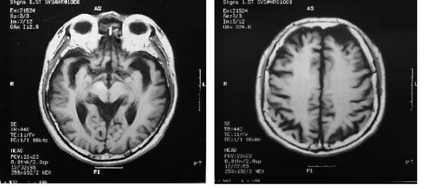
(7)照片图
照片有很强的视觉效果(见图6)。在显示某种实物、动作时,或在反映脑功能成像、细胞内的结构变化等方面,照片是最有效的表达手段。照片可以用照相机直接获取,也可以通过计算机软件来生成。
图6 照片的图样(黑白照片)
(资料来源:杨炯炯,周晓林,张亚旭等.逆行性遗忘、额叶与远期记忆的组织.心理学报,2002,34(2):142)
照片图要求:
- 截除与主题无关的细节;
- 对比强烈。
由于照片的制作成本较高,特别是彩色照片,因此,当稿件被录用时,应向编辑部说明是否可以用黑白照片来代替彩色照片。如果必须采用彩色印刷,作者还需承担部分制作费用。
3.2.3 插图的要素及要求
(1)图序和图题
图序即插图的序号。根据插图在正文中被提及的顺序,用阿拉伯数字进行排序,如“图1”、“图2”等。并尽量把图安排在靠近第1次提及它的位置。注意:一定不要写成“上/下图”或“第X页的图”,因为在重新排版时,这些标志可能就会导致错误。
图题即插图的标题,要求简明准确,要有较好的说明性和专指性,不要为追求形式上的简洁而选用过于泛指的图题。对比一下下面的图题。
太简短:凝视时间。
过度的描写:实验1中刺激产生后与眼睛开始凝视之间的持续时间。
图序和图题之间空1个字距,不用任何点号。放置于(打印在)图的下面。
(2)图例
当插图中用某一符号来代表某一变量时,就需要用图例来说明符号的意义。在许多类型的图中,图例是不可缺少的组成部分。图例常被放置于图内并成为插图的一部分,因此它的字体和字号应与图的其他部分相同。如有可能,最好把图例放置在坐标轴的区域之内。
(3)图注
图中未能表达又必须要表达的信息应在图注中说明,如需要解释的度量单位、符号以及缩略语等。不应该让读者去参考正文才能理解插图的信息。如果你的插图包含误差线,那么还需要说明它们是标准误、标准差、信度边界还是数值范围;这有助于定义所采用的样本大小。如果在图中标出了显著性的值,那么在图注中就要说明(同表注的要求,见3.1.1)。
(4)字体、字号、线条和图案(阴影)的选择
- 插图中的文字通常采用6号宋体。如果有特殊要求,如要突出某些文字,可以增大字号或改变字体。
- 坐标轴线条为辅线,粗细采用0.5磅;图中线条为主线,可以采用1磅。
- 线条的粗细和线条之间的密度也需考虑,以便突出最重要的要素。如:线形图上的曲线和条形图上的条的轮廓都应比坐标轴的刻度更清楚,而这些坐标轴上的刻度又要比坐标轴和核对符号的轮廓更清楚。
- 插图中性质不同的部分需要用不同的图案来区分,如条形图中代表不同变量的条、饼图中不同部分等。在条形图中,不要用不同的灰度来区分不同的条,而要用有明显区别的线条图案来区分。如果你必须使用灰度来区分,那么不同条之间的灰度至少有30%的差别。
- 尽量把条形图、饼图的组成部分限制5个以内。如果有更多的部分,那么表可能是表达数据的更好方式。
- 对于线形图,决定在一幅图内放置几条曲线,应以可辨性作为原则,通常每图最多不超过5条曲线。
- 尽量采用清楚、简单的几何图形来表示数据,最好选择空心的或实心的圆圈、三角形、正方形或菱形。
- 标注因变量的纵坐标轴的长度应大约是标注自变量的横坐标轴的长度的四分之三到三分之二。
- 采用黑白二色作图。除非该插图需要彩印,否则不要用彩色作图。虽然彩色插图在计算机屏幕上非常清楚,而打印的黑白稿则可能不清楚。
(6)标目和标值
标目是用来说明坐标轴的含义的,应该与被标注的坐标轴平行,居中排印在坐标轴和标值的外侧,文字方向与坐标轴方向相垂直。例如:
正确的标目 错误的标目
标值是坐标轴定量表述的尺度。标值应防止标注得过分密集,以至于数码前后连接,辨识不清。标值排印在坐标轴外侧,紧靠标值短线的地方。为了清晰,标值的数字应尽量不超过3位数。因此,要认真选取标目中的单位,如用3kg代替3000g,用5μg代替0.005mg等。
坐标轴上的标值范围是根据图形的数据确定的,但坐标轴上标值的间距则是任选的,不同的选择将使同一条曲线有不同的形状。因此,标值的确定应考虑以下几点:
- 选择适当的标值,以便所描绘的曲线能涵盖整个的数据。
- 选择适当的标值间距,以便所描绘的曲线能正确地反映数据。因为两坐标轴的标值间距不适当将会扭曲数据的显示。
- 如果在坐标轴上的测量单位不是从0 开始,那么用“//”符号在坐标轴上分段。
(7)插图的大小和比例
在规划一幅图时,应考虑到以下几点:
- 除特殊要求外,图的大小必须要限定在期刊的版心之内。
- 同类型或同等重要的图的大小应该尽可能地保持一致,单位刻度相同。
- 为方便比较,可以把类似的图(如两个图的纵坐标轴相同)合并起来。
- 图例是对图中文字的说明,放置于图形区内(见图1和图2)。如果确实放不下,那么在计算图的宽度时应考虑到图例所占的空间。
绘制插图时,除非特殊需要,不要为了追求效果而增加一些无意义的细节,如把二维的条形图画成三维的柱形图。尽管这种特殊效果能够增加吸引力,并为某些人所偏爱,但它们会歪曲数据,转移读者的注意力。
对于同一篇论文中的多幅插图来说,应尽量使插图的各要素相互统一,尤其是使用相同变量的标目、标值、图例等应相互一致。
3.2.4 插图的核查清单
- 这个插图有必要吗?与表格和正文是否重叠?
- 有图序和图题吗?图题的表述是否简洁?
- 这个插图简洁吗?还有没有可以删去的无关的细节?
- 坐标轴的标值是否合适?
- 插图中的一般文字是否为6号宋体?
- 类似的插图或者重要性相仿的插图是以同样的坐标系画的吗?
- 所有的术语拼写是否正确?
- 插图中的符号及缩写都在图注中有所说明吗?这些符号、缩写与标题是否一致?在其他插图或正文中是否保持一致?
- 所有的插图在正文的相应位置处是否被提及?








没有要显示的评论
没有要显示的评论